业务咨询
【评价原理】
卵巢早衰(POI)指女性在40岁前即出现卵巢功能耗竭,全球育龄期女性患病率约1–2%。POI不仅使自然受孕率骤降至<5%,还因长期雌激素缺乏导致骨质疏松和椎体骨折风险增加3倍,并加速动脉粥样硬化使冠心病提前5–10年;同时伴发潮热、抑郁和认知下降,最终使全因死亡率较正常人群上升约70%。
与人类一样,斑马鱼卵巢和睾丸由性腺原基形成,该性腺原基(双潜能原基)具有双向分化潜能。斑马鱼卵巢发育和功能的相关基因和人具有同源性,且基因功能保守。斑马鱼的卵巢主要由性腺组织和周围的卵母细胞卵泡组成,成熟卵母细胞卵泡的发育阶段主要分为初级卵母细胞、皮质滤泡卵母细胞、早期卵母细胞和成熟卵母细胞。
环磷酰胺是一种烷基化化疗剂,通过诱导卵母细胞DNA双链断裂,并激活ROS-线粒体凋亡通路,不可逆地耗竭原始卵泡,从而触发卵巢早衰。
我们评价防治卵巢早衰功效有多个指标:1.卵巢病理切片;2.体重、卵巢重量;3.促卵泡生成素(FSH)、促黄体生成素(LH)活力,雌二醇(E2)含量;4.qPCR检测相关基因表达量:雌激素受体基因esr1、esr2a和esr2b。
【实验方案】
我们将受测试斑马鱼分成三组,分别是正常对照组、模型对照组和供试品组。其中正常对照组未摄入环磷酰胺,模型对照组与服用供试品组都摄入了等量的环磷酰胺(环磷酰胺通过溶解到养鱼用水中的方式摄入到斑马鱼体内)。服用供试品组在摄入环磷酰胺之前摄入供试品。
服用一段时间供试品后,我们收集斑马鱼样本,采集卵巢组织,制作病理切片观察卵巢的病理结构变化。
【结果展示】

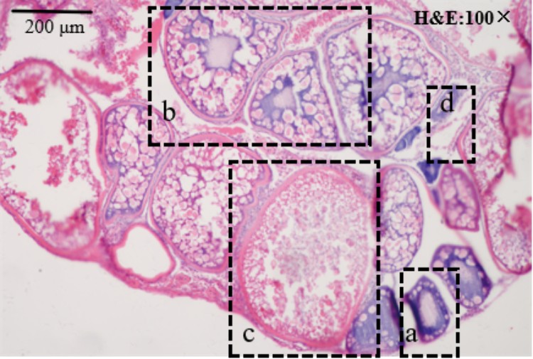
图1. 斑马鱼卵巢结构示例图
a.初级生长期卵母细胞:体积小而颜色深,呈小三角形或长方形;b.皮质滤泡期卵母细胞:由一层颗粒细胞包围,细胞边缘出现皮质泡并延伸至细胞核周围;c.卵黄生长期卵母细胞:开始形成卵黄物质,包括小的卵黄滴及体积较大的卵黄球。成熟期卵母细胞由于卵黄物质持续增加,卵质面积减少,卵黄滴相互融合,卵核偏移,时常观察不到细胞核;d.排卵后卵泡:成熟卵母细胞排卵后,卵泡变为空囊,卵泡周围挤压变形。

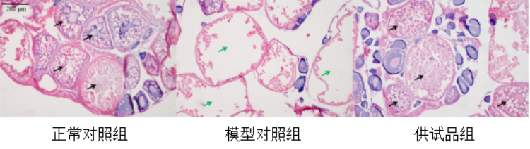
图2. 斑马鱼卵巢病理切片表型图
(S,saccule(球囊);U,utricle(椭圆囊))
从病理切片可以看到,正常对照组斑马鱼正处于性成熟阶段,卵巢内可见a-d各个发育阶段、形态正常的卵母细胞,说明卵巢储备功能正常,其中皮质滤泡期卵母细胞(b,黑色箭头)偏多,提示正在为卵黄和卵黄蛋白的形成做准备。环磷酰胺处理斑马鱼后,斑马鱼卵巢卵母细胞数量减少,大多为挤压变形的卵黄生长期卵母细胞(c,绿色箭头),其卵泡变为空囊、内部卵黄物质大量减少、卵黄膜与透明带解体,提示卵巢储备功能下降、卵母细胞衰老,出现卵巢早衰。供试品组卵巢内可见各个发育阶段的正常卵母细胞,皮质滤泡期卵母细胞数量多、卵黄生长期卵母细胞内卵黄物质饱满,细胞结构清晰,与正常对照组相似,具有防治卵巢早衰功效。
【评价结论】
1.经过每组10尾斑马鱼的对比实验,服用或注射供试品组的斑马鱼卵巢结构较模型对照组有所改善,各级卵母细胞数量较模型对照组增多。
2.本实验证实供试品具有防治卵巢早衰功效。
严正声明:以上内容所涉及的核心知识产权归杭州环特生物科技股份有限公司所有。任意第三方机构或个人在未经授权的前提下抄袭、剽窃、恶意传播均属侵害我司正当权益的行为,我司不排除诉诸一切法律手段维护自身合法权益。